NANG CHÂN RĂNG
1. ĐẠI CƯƠNG
– Nang chân răng (radicular Cyst) là một khoang bệnh lý chứa dịch trong xương hàm mà toàn bộ hoặc phần lớn lòng nang được lót bởi tế bào biểu mô có nguồn gốc từ các tế bào biểu mô Malassez còn sót lại thuộc cơ quan hình thành răng của một răng chết tủy.
– Nang chân răng chiếm khoảng 60-75% trong tổng số nang xương hàm do răng. Nang chân răng gồm ba phân nhóm: nang cuống răng, nang cạnh cuống, nang sót.
– Nang cuống răng (Apical) là tổn thương hay gặp nhất trong xương hàm luôn có liên quan đến cuống của một răng chết tuỷ, chiếm khoảng > 75% trong số nang chân răng.
– Nang sót (Residual radicular Cyst) là một nang chân răng còn tồn tại trong xương hàm sau khi răng nguyên nhân đã bị nhổ đi mà không thể tự lành thương được. Chiếm khoảng 15-20 % trong tổng số nang chân răng. Phần lớn các tổn thương vùng cuống sẽ tự hồi phục sau khi răng nguyên nhân được nhổ bỏ hoặc được điều trị nội nha.
– Nang cạnh cuống (Lateral): Rất ít xuất hiện, thường liên quan đến ống tuỷ phụ của một răng chết tuỷ.

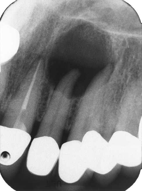
Hình ảnh nang chân răng
2. CƠ CHẾ BỆNH SINH
Các yếu tố chính đóng vai trò trong quá trình hình thành và phát triển nang:
2.1. Sự hình thành và phát triển của biểu mô: Sự nhiễm trùng của tủy gây ra phản ứng viêm kích thích các tế bào biểu mô Malassez còn sót lại tại vùng chân răng. Các tế bào này tới tụ tập tại tổ chức hạt quanh cuống của một răng chết tuỷ. Chúng tăng sinh do phản ứng viêm chống lại vi khuẩn trong ống tuỷ.
2.2. Áp lực thủy tĩnh trong nang: Nang được hình thành trong lòng đám tế bào biểu mô tăng sinh. Dịch nang là dịch rỉ viêm có độ tập trung Protein cao, một số phân tử có TLPT cao tạo áp lực thẩm thấu kéo dịch vào lòng nang. Áp lực thuỷ tĩnh trong lòng nang trung bình là 70 cm H2O (290 ± 14,93 mOsm) lớn hơn áp lực thẩm thấu trung bình của huyết thanh: (279 ± 4,68 mOsm). Do áp lực này lớn, nên lòng nang luôn có xu hướng giãn rộng theo mọi hướng ép vào làm tiêu xương xung quanh nang.
2.3. Yếu tố gây tiêu xương: Sự tiêu xương có liên quan đến hoạt động của các huỷ cốt bào được kích thích bởi Prostaglandin E2, PGF2, PGI và các Cytokines IL1, IL6, TNF do các tế bào viêm và các tế bào khác của vỏ nang sản xuất. Các huỷ cốt bào hoạt động trên bề mặt xương sản xuất ra các axit gây khử khoáng xương. Sau đó khung hữu cơ còn lại sẽ bị phá huỷ bởi các Matrix Metalloproteinases (MMPS); collagenases và Lysomol Proteinases.

3. TRIỆU CHỨNG
3.1. Triệu chứng lâm sàng
– Gặp nhiều ở tuổi trưởng thành
– Phần lớn các ca nang chân răng không có triệu chứng lâm sàng và chỉ được tình cờ phát hiện nhờ chụp phim X.Quang cận chóp tại một răng chết tuỷ. Khi nang phát triển to gây phồng xương, bề mặt xương phồng đều nhẵn, niêm mạc phủ trên xương lành bình thường hoặc có thể tăng sinh mao mạch nhẹ. Lúc đầu xương phủ bên ngoài nang còn dầy cứng, sau đó khi kích thước của nang tăng lên xương phủ mỏng đi, xuất hiện dấu hiện bóng nhựa. Chỉ khi vỏ xương cứng bị tiêu hết sạch thì sẽ có dấu hiệu chuyển sóng, niêm mạc căng phồng ấn như ấn vào đáy túi đựng nước bao quanh bởi một bờ xương mỏng. Ở hàm trên nang có thể lan về phía tiền đình, hàm ếch, nền mũi, xoang hàm. Trong khi ở xương hàm dưới nang chân răng thường chỉ lan về phía má, rất hiếm khi nang phát triển về phía lưỡi.
– Khi nang bị bội nhiễm, niêm mạc trên vùng nang xung huyết, đau, ranh giới không rõ, răng nguyên nhân lung lay và đau. Có thể có những triệu chứng toàn thân như: sốt, có hạch vùng lân cận sưng đau. Có thể nang rò mủ vùng tiền đình tương ứng cuống răng nguyên nhân hoặc rò ra ngoài da.
2.2. Hình ảnh X. quang
– Hình ảnh X.quang điển hình của nang chân răng là một vùng thấu quang, hình tròn hoặc ô van có đường ranh giới rõ ràng bao quanh cuống hay ở về một bên cuống của một răng chết tuỷ hoặc ở vùng tương ứng cuống của một răng hỏng tủy đã được nhổ đi. Thường là nang một buồng. Với những nang lớn có thể có hình ảnh X.quang nhiều buồng.
– Đọc phim cần chú ý: Vị trí nang, đường kính, ranh giới, 1 hay nhiều ổ, chân răng trong nang, liên quan với các bộ phận giải phẫu như xoang hàm, ống thần kinh răng dưới.

2.3. Giải phẫu bệnh
Kết quả giải phẫu bệnh là tiêu chuẩn vàng để chẩn đoán xác định nang chân răng:
– Vỏ nang được bao bọc bởi vỏ liên kết xơ viêm mãn tính, trong lòng được lót toàn bộ hoặc một phần bởi lớp tế bào biểu mô lát tầng không sừng hoá.
– Dịch trong nang thay đổi từ dịch lỏng màu vàng nhạt tới loại dịch đặc quánh như bột nhão mầu nâu, nếu bộ nhiễm thì có mủ. Thành phần của dịch bao gồm:
+ Sản phẩm thoái hoá của tế bào biểu mô lát tầng, tế bào viêm và của tổ chức liên kết.
+ Các protein huyết thanh với nồng độ 5-11g/dl.
+ Nước và các chất điện giải.
+ Tinh thể cholesterol.
+ Các tế bào bạch cầu đa nhân trung tính thể hiện quá trình viêm mãn tính.
4. CHẨN ĐOÁN
4.1. Chẩn đoán xác định: Dựa lâm sàng, X.quang. Kết quả giải phẫu bệnh là tiêu chuẩn vàng để chẩn đoán xác định.
4.2. Chẩn đoán phân biệt:
– U hạt: Những nang chân răng kích thước nhỏ cần chẩn đoán phân biệt với u hạt và nang túi chân răng. Phẫu thuật nên đặt ra khi răng đã được điều trị nội nha một thời gian mà trên lâm sàng và hình ảnh Xquang không có tiến triển. Theo nghiên cứu của Mortensen (1970): Các tổn thương quanh cuống trên phim X.quang có đường kính từ 5-9mm thì 1/3 là nang chân răng, với đường kính từ 10-14mm thì 1/2 là u hạt và 1/2 là nang chân răng. Ở nhóm có đường kính trên 15mm thì vẫn có 1/3 là u hạt.
– Sẹo vùng cuống răng (Periapical scars) hoặc khuyết hổng xương do phẫu thuật (Surgical defects): Những răng có tổn thương vùng cuống đã được điều trị nội nha bảo tồn hoặc phẫu thuật cắt cuống với một hình ảnh thấu quang ở vùng cuống ổn định lâu dài về mặt kích thước, không có triệu chứng lâm sàng thì nhiều khả năng đó là mô sẹo cuống răng hay khuyết hổng xương sau phẫu thuật.
– Nang vùng răng cửa giữa hàm trên cần chẩn đoán phân biệt với nang ống mũi khẩu cái, nang nhầy sàn mũi. Nang ống mũi khẩu cái thường đẩy chân răng 1.1, 2.1 ra xa tạo hình ảnh thấu quang dạng hình tim trên phim X.quang và các răng liên quan có tuỷ vẫn sống.
– Những nang chân răng của răng sữa, cần chẩn đoán phân biệt với nang thân răng của răng vĩnh viễn nằm ngay dưới nó dựa vào đường bám của nang vào răng.
– Những nang cạnh cuống (tủy chết) cần phân biệt với nang bên chân răng (tủy răng còn sống).
– Với những nang chân răng lớn, cần phân biệt với: nang sừng, u men thể nang, u máu trong xương…Dựa vào lâm sàng, xét nghiệm dịch chọc dò nang, đặc biệt chỉ có thể có chẩn đoán chắc chắn khi có kết quả giải phẫu bệnh.
Chọc dò bằng kim số 16 hoặc 18 được tiến hành để khẳng định chắc chắn tổn thương là nang chứ không phải u và để tránh các u máu trong xương. Bằng cách này còn có thể phân biệt nang sừng và các nang do răng khác trước phẫu thuật. Xét nghiệm dịch chọc dò của nang sừng có nồng độ Protein hoà tan < 5g/100 ml. Trong khi các nang khác có nồng độ Protein tương tự huyết thanh.
5. ĐIỀU TRỊ
5.1. Phẫu thuật bóc tách nang
* Chỉ định: Được chỉ định cho các nang trong xương hàm mà sự bóc tách này không gây ảnh hưởng xấu tới các cấu trúc giải phẫu có liên quan.
* Kỹ thuật:
– Đường rạch có thể hình vợt, hình thang hoặc ngách lợi. Bóc tách vạt niêm mạc màng xương bằng cây bóc tách (Hình 12).
– Dùng mũi khoan Carbuatungsten tạo nhiều lỗ liên tiếp theo chu vi cửa sổ xương. Sau đó mở cửa sổ xương bằng mũi khoan hoặc cây đục xương dọc theo các lỗ đã khoan trước. Mở rộng cửa sổ bằng kìm gặm xương hoặc mũi khoan hình quả trám cho tới khi đạt kích thước cần có và bờ xương đủ dày cứng.
– Dùng curet bóc tách nang. Dùng curet cỡ lớn nhất có thể để tránh làm
thủng vỏ nang.
– Cắt cuống răng đến sát đáy nang bằng mũi khoan, sau khi đã hàn kín ống tủy.
– Kiểm tra kỹ ổ xương, làm nhẵn bờ xương, bơm rửa bằng nước muối sinh lý.
– Đặt lại vạt niêm mạc màng xương và khâu phục hồi bằng chỉ nilon.

Gây tê tại chỗ

Mở vạt bộ lộ nang, bóc tách nang

Bơm rửa kỹ bằng dung dịch nước muối sinh lý pha với betadine sau khi bóc tách loại bỏ hết nang, tổ chức viêm
![]() |
![]() |
Hỗn hợp ghép gồm collagen, xương ghép, PRF

Tiến hành ghép vật liệu

Khâu đóng vạt
* Cơ chế sự lành thương sau mổ bóc tách và hoặc nạo vét nang:
– Với những nang có kích thước < 3 cm, sau phẫu thuật ổ xương được lấp đầy bằng cục máu đông. Nếu không nhiễm trùng, cục máu đông sau đó sẽ được thay thế bằng tổ chức hạt. Vào ngày thứ ba bắt đầu xuất hiện các nguyên bào sợi non. Sau đó các tạo cốt bào từ thành xương xung quanh sẽ xâm nhập vào tổ chức hạt tạo ra quá trình lành xương. Sau 6-12 tháng phần xương bị phồng ra sẽ từ từ tạo lại giới hạn cũ của nó.
– Với những nang lớn hơn 3 cm thì quá trình lành thương diễn ra theo hướng từ ngoại vi vào trung tâm hốc xương.
Ảnh….
5.2. Bóc tách nang có nạo vét
* Chỉ định:
– Nang chân răng viêm nhiễm nhiều lần
– Nang tái phát mặc dù đã được bóc tách cẩn thận.
* Kỹ thuật:
Sau khi màng nang được bóc tách và lấy đi, dùng curet sắc hoặc mũi khoan xương nạo đi một lớp xương dày khoảng 1-2 mm trên toàn bộ bề mặt xương quanh vỏ nang cũ. Kỹ thuật cần làm cẩn trọng khi nang nằm gần các cấu trúc giải phẫu quan trọng. Sau đó ổ xương được rửa sạch và đóng kín vạt niêm mạc màng xương.
Trong trường hợp có ghép xương:
* Kỹ thuật:
Trộn đều 3 thành phần sau:
+ Xương tự thân xay nhỏ (1/2) (lấy vùng mào chậu, lồi cằm…)
+ Xương đông khô khử khoáng (1/2).
+ Huyết tương giàu tiểu cầu (PRP- Platelet Rich Plasma) có tác dụng rất lớn trong quá trình phục hồi tổn khuyết.
Lèn đầy, vừa chặt hỗn hợp trên vào trong hốc xương rồi khâu kín vạt niêm mạc màng xương, băng ép cầm máu.
*Diễn biến mô học của quá trình ghép xương:
Diễn biến mô học của quá tình ghép xương tự thân lần đầu tiên được mô tả bởi Axhauxen va Barth vào cuối thế kỷ 19 đầu thế kỷ 20, các tác giả này cho rằng mảnh xương ghép bị hoại tử dần và thay thế vào đó bởi mô xương mới bằng sự xâm nhập của mạch máu vào mảnh ghép, sự thay thế xảy ra dần dần (Creeping subtitution).
Quá trình hoà hợp xương ghép là quá trình hợp nhất giữa mô xương nhận và xương ghép. Quá trình hoà hợp của xương ghép phụ thuộc vào tính tương hợp sinh học mô ghép, sự sinh xương của các tế bào xương ở mô ghép và mô nhận, hiện tượng cảm ứng xương, sự dẫn xương. Một số yếu tố khác cũng ảnh hưởng đến quá trình hoà hợp xương ghép như là tuổi người bệnh, các bệnh lý kèm theo, vị trí của vùng ghép, sự cầm máu của vùng ghép, sự tưới máu cho vùng ghép, sự chuyển hoá sinh lý bình thường của xương.
Quá trình tái tạo xương có thể từ mô ghép hoặc mô nhận. Mô ghép có thể tham gia trực tiếp vào quá trình sinh xương thông qua những tế bào sống sót có thể tạo nên xương mới. Ngoài ra chúng còn có khả năng sản xuất ra các Cytokin góp phần thúc đẩy quá trình tạo xương. Quá trình này thường xảy ra đối với trường hợp ghép xương tự thân.
Một quá trình sinh xương khác nữa là hiện tượng cảm ứng xương. Đây là khả năng kích thích, thu hút, tụ tập các tế bào đa năng từ giường ghép. Các tế bào đa năng này có thể biệt hoá thành các tạo cốt bào. Hans Burchurdt cho rằng hiện tượng cảm ứng xương có thể xảy ra khi có những tác nhân kích thích như mảnh xương ghép, các tế bào sinh xương hoặc có môi trường thuận lợi. Golberg V.M và Sferenson cho rằng hiện tượng cảm ứng xương xảy ra do các yếu tố hoà tan dẫn xuất từ chất căn bản của xương. Một trong số đó là Protein tạo hình thái xương BMP (Bone Morphogenic Protein). Chúng có thể được chiết xuất từ chất căn bản của xương hoặc từ khối u xương. Hoạt tính của BMP không đòi hỏi các tế bào ghép phải sống, bởi vì đây là hoạt tính của chất căn bản xương. Ngày nay có tới 14 loại BMP được nghiên cứu, phát hiện và đưa vào ứng dụng trong ghép xương đem lại hiệu quả rất cao trong điều trị.
Hoạt tính này không chỉ có ở xương tự thân mà nó còn có ở xương đồng loại bảo quản. Xử lý xương đồng loại bằng phương pháp đông khô hoặc làm lạnh sâu không làm mất đi đặc tính này. Tuy nhiên hoạt tính của BMP bị mất đi khi nhiệt độ lên quá cao.
Hiện tượng cảm ứng xương dẫn đến sự di chuyển, trú ngụ, sinh sôi và biệt hoá của tế bào từ mô xương nhận. Đáp ứng viêm của cơ thể nhận xảy ra trong giai đoạn sớm vài giờ sau ghép, cung cấp các tế bào có khả năng biệt hoá thành các tiền tạo cốt bào.
Trong ghép xương còn có xảy ra hiện tượng dẫn xương. Tổ chức xương ghép đóng vai trò như một cái khung, trên đó các tế bào xương mới sinh sôi và phát triển. Quá trình này bao gồm sự xâm nhập mạch máu và các tiền tạo cốt bào từ giường ghép vào mô ghép. Quá trình dẫn xương dẫn đến sự hấp thụ dần dần mảnh xương ghép và thay thế nó bằng xương mới, gọi là sự thay thế dần.
Quá trình hòa hợp xương ghép là một quá trình thay thế dần xương ghép bằng mô xương mới qua các giai đoạn sau:
+ Sự xâm nhập: Tổ chức xương sống (giường ghép) xâm nhập vào phần xương ghép bởi các mạch máu, các tế bào.
+ Sự phá huỷ: Được thực hiện bởi các hủy cốt bào. Các tế bào này tiết ra các Enzym như: Phosphataza gây phân huỷ các chất căn bản của mô xương ghép.
+ Hiện tượng cảm ứng xương: Do có tác động của một số chất, đặc biệt là BMP, một số tế bào đa năng như nguyên bào sợi chuyển dạng thành tạo cốt bào để sinh xương mới.
+ Hiện tượng dẫn xương: Mạch máu và các tế bào, đặc biệt là tiền tạo
cốt bào di cư từ mô xương sống vào khoảng trống của mô ghép, sinh xương
và thay thế dần mô ghép.
+ Sự sinh xương mới: Do các tạo cốt bào thực hiện. Các tế bào này sản xuất ra các chất nền và làm lắng đọng các muối canxi lên trên đó tạo thành chất căn bản của xương mới. Quá trình này được thực hiện tại các khoảng trống hoặc các đường hầm do huỷ cốt bào tạo nên. Sự hoà hợp xương ghép là một quá trình tuần tự, bắt đầu từ phản ứng viêm, tiếp theo là giai đoạn xâm nhập mạch máu, giai đoạn tăng sinh xương, tu sửa xương và cuối cùng là thiết lập một cấu trúc cơ học vững chắc.
5.3. Kỹ thuật mở thông nang
Còn được gọi là kỹ thuật giảm áp (kỹ thuật Partsch I) để chỉ kỹ thuật mở một cửa số trên thành nang và duy trì sự thông thương giữa lòng nang với khoang miệng. Kỹ thuật này có tác dụng làm giảm áp lực lòng nang, kích thích sự bồi xương và thu hẹp lòng nang.
* Chỉ định: Cần chú ý một số vấn đề:
- Mức độ mô bị phá huỷ nếu dùng kỹ thuật bóc tách. VD: Nếu bóc tách nang có thể dẫn tới rò mũi miệng, rò nang-xoang hàm, ảnh hưởng bó mạch thần kinh lớn trong xương, gây chết tuỷ nhiều răng còn khoẻ mạnh…
- Khả năng thao tác tới mọi vị trí trong nang. Nếu khó thì dễ để sót lại tổ chức nang gây ra tái phát
- Răng chưa mọc: nếu một răng chưa mọc cần được giữ lại mà có liên quan tới nang
- Tình trạng toàn thân của bệnh nhân không chịu phẫu thuật.
- Bản xương cứng đã bị tiêu nhiều vỏ nang dính chặt với tổ chức liên kết niêm mạc miệng làm cho khó bóc tách hoàn hảo.
* Ưu điểm: Kỹ thuật đơn giản, an toàn, đồng thời giúp bảo tồn được những cấu trúc giải phẫu quan trọng liên quan tới nang, tránh gãy xương thứ phát.
* Hạn chế: Không kiểm tra giải phẫu bệnh một cách kỹ lưỡng; việc chăm sóc giữ vệ sinh vì lòng nang rất dễ giữ lại các cặn vụn thức ăn.
* Kỹ thuật:
Khi xương phủ trên nang còn dày ta dùng kỹ thuật sau:
– Tạo vạt niêm mạc màng xương theo hình dáng vị trí cửa sổ đã định trước.
– Bóc tách vạt theo chu vi cửa sổ bộc lộ xương.
– Dùng mũi khoan và kìm gặm xương lấy bỏ mảnh xương phủ ở cửa sổ mà không làm thủng vỏ nang.
– Dùng kéo sắc cắt vỏ nang gần theo bờ xương đã mở.
– Hút sạch dịch chứa trong nang.
– Cuộn mép vạt niêm mạc màng xương vào trong lòng nang và khâu dính vạt này vào lớp vỏ nang bằng mũi rời.
– Chèn gạc tẩm Iodoform vào lòng nang, đắp xi măng phẫu thuật ra ngoài để che chắn và để yên trong 72 giờ.
Khi lớp xương phủ trên nang còn rất mỏng hoặc đã tiêu hết: Dùng mũi dao số 15 rạch một đường qua cả niêm mạc và thành nang sau đó khâu viền cửa sổ bằng mũi rời.
* Tiến triển sau phẫu thuật:
– Do lòng nang đã được mở thông vào khoang miệng, áp lực trong lòng nang giảm tạo điều kiện cho sự bồi phục xương xung quanh nang diễn ra tương đối nhanh chóng.
– Sau một tuần lành thương, làm nút chặn bằng nhựa Acrylic có 2 tác dụng: ngăn thức ăn rơi vào lòng nang trong bữa ăn và duy trì cửa sổ đã tạo. Nút chặn có thể là một phần trên hàm giả tháo lắp của bệnh nhân. Nút chặn nhỏ được tháo ra vào ban đêm để tránh bệnh nhân nuốt hoặc hít vào.
– Thường xuyên kiểm tra và mài nhỏ nút chặn cho phù hợp với kích thước thu nhỏ dần của lòng nang.

Mở thông nang giảm áp sử dụng lỗ thông kết hợp máng kỹ thuật số

Mở thông nang điều trị nang chân răng hàm dưới
5.4. Mở thông nang kết hợp bóc tách nang thì hai
Sau một thời gian mở thông nang khi lòng nang đã thu nhỏ có thể thực
hiện bóc tách nang mà không gây ảnh hưởng tới các cấu trúc giải phẫu quan trọng có liên quan.


