1. Tổng quan
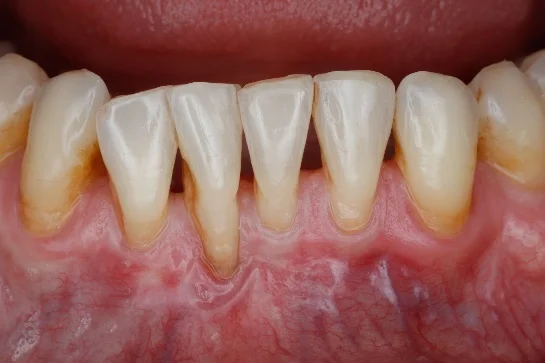
Viêm nha chu là bệnh lý viêm nhiễm các mô nâng đỡ quanh răng (gồm lợi, dây chằng, xương ổ răng và xương răng). Nguyên nhân chủ yếu là do mảng bám vi khuẩn tích tụ lâu ngày trên răng và dưới nướu, gây phản ứng viêm và phá hủy mô quanh răng.
Bệnh thường tiến triển âm thầm, ít triệu chứng ở giai đoạn đầu nhưng nếu không điều trị, có thể dẫn đến tiêu xương, lung lay và mất răng vĩnh viễn.
2. Tác hại của viêm nha chu
Tiêu xương ổ răng
Quá trình viêm kéo dài khiến xương quanh chân răng bị phá hủy, dẫn đến răng lung lay, di chuyển và cuối cùng phải nhổ bỏ.
Mất răng sớm
Viêm nha chu là nguyên nhân hàng đầu gây mất răng ở người trưởng thành, dù răng vẫn còn nguyên vẹn.
Ảnh hưởng thẩm mỹ và ăn nhai
Tụt lợi, hở cổ răng, răng thưa, hơi thở hôi khiến người bệnh mất tự tin khi giao tiếp, giảm khả năng nhai và ảnh hưởng tiêu hóa.
Gây biến chứng toàn thân
Nhiều nghiên cứu cho thấy vi khuẩn từ ổ viêm nha chu có thể xâm nhập vào máu, làm tăng nguy cơ:
-
Bệnh tim mạch, đột quỵ
-
Tiểu đường khó kiểm soát
-
Sinh non, nhẹ cân ở phụ nữ mang thai
Ảnh hưởng đến phục hình răng
Bệnh nha chu không điều trị triệt để có thể gây thất bại khi cấy ghép implant, làm cầu răng hoặc răng sứ.
3. Điều trị viêm nha chu
Điều trị viêm nha chu nhằm loại bỏ hoàn toàn ổ viêm, kiểm soát vi khuẩn và phục hồi mô nâng đỡ quanh răng, giúp răng trở nên vững chắc, ổn định lâu dài.
Phương pháp điều trị thường bắt đầu bằng làm sạch mảng bám và cao răng – yếu tố chính gây viêm. Bác sĩ sẽ tiến hành lấy cao răng, cạo và làm láng bề mặt chân răng để loại bỏ vi khuẩn và độc tố bám dưới nướu. Việc này giúp nướu bám trở lại vào chân răng và giảm độ sâu của túi nha chu.
Trong một số trường hợp, bác sĩ có thể kết hợp điều trị bằng thuốc kháng sinh tại chỗ hoặc toàn thân nhằm kiểm soát tình trạng nhiễm khuẩn. Song song đó, bệnh nhân được hướng dẫn chế độ vệ sinh răng miệng đúng cách – bao gồm chải răng đúng kỹ thuật, sử dụng chỉ nha khoa và dung dịch súc miệng chuyên dụng để ngăn ngừa tái phát.
Với những trường hợp viêm nha chu nặng gây tổn thương mô và tiêu xương, bác sĩ có thể chỉ định phẫu thuật nha chu để làm sạch sâu vùng viêm, đồng thời ghép xương hoặc tái tạo mô nha chu nhằm phục hồi cấu trúc đã mất.
Sau điều trị, bệnh nhân cần tái khám định kỳ 3–6 tháng/lần để kiểm tra, làm sạch và duy trì kết quả điều trị lâu dài.
4. Phòng ngừa viêm nha chu
-
Đánh răng ít nhất 2 lần/ngày, dùng chỉ nha khoa và súc miệng kháng khuẩn.
-
Lấy cao răng định kỳ 3–6 tháng/lần.
-
Hạn chế hút thuốc lá và thức ăn chứa nhiều đường.






