NANG THÂN RĂNG
1. ĐẠI CƯƠNG
Nang thân răng thuộc nhóm các nang xương hàm do răng. Tỷ lệ gặp ít hơn so với u mem xương hàm và nang chân răng. Hay gặp nang bọc trên thân một chiếc răng vĩnh viễn mọc ngầm. Thực tế trên lâm sàng và Xquang có thể gặp ở các dạng sau:
– Trên mặt nhai của một răng sữa chưa mọc được.
– Thân một răng vĩnh viễn chưa mọc được.
– Thân một răng vĩnh viễn chưa mọc được mà trên đó không có răng sữa (như răng số 6, 7, 8).

2. GIẢI PHẪU BỆNH LÝ
Thông thường màng nang mỏng, khi nhiễm trùng mãn tính mới dày lên và dính sát vào cổ răng, thân răng chìm sâu trong lòng nang, ở phần xương hàm, màng nang dễ bóc tách vì thành nhẵn, nhưng khi màng nang đã vượt ra tổ chức phần mềm thì lại dính, khó tách bóc.
Dịch trong nang trong, quánh đặc sệt, đỏ, nâu. Khi có bội nhiễm có khi như mủ.
Về vi thể màng nang có 3 lớp.
– Lớp ngoài là tổ chức xơ.
– Lớp giữa là mô lỏng lẻo phôi thai.
– Lớp trong là tổ chức biểu mô gồm một hoặc nhiều tế bào lát hoặc trụ, có khi có cả tế bào hình sao loại men.

3. CƠ CHẾ BỆNH SINH
Chưa thật rõ ràng nhưng người ta đề cập đến ba vấn đề:
3.1 Nhiễm trùng: Lâm sàng và tổ chức học đều công nhận nang thân răng có nhiễm trùng. Do vậy người ta cho rằng nhiễm trùng là một nguyên nhân của
nang thân răng.
3.2 Nang:
– Broca gọi nang thân răng là nang mầm răng và cho rằng sự hình thành là do cơ quan men nhuyễn đi để chuyển hoá thành nang.
– Malassez cho rằng là do từ một điểm nào đó của dây kéo, qua một loạt thay đổi dẫn tới hình thành nang ở một chỗ trước răng. Khi thân răng bắt đầu mọc thì gặp nang đang hình thành ở trước, răng chui vào trong nang và trong khi chân thành hình màng nang dính vào ổ răng.
3.3 Răng ngầm: Sự phát triển của nang đã làm ngừng trệ sự phát triển của răng hoặc nang phát triển quanh thân một răng ngầm.

4. TRIỆU CHỨNG LÂM SÀNG
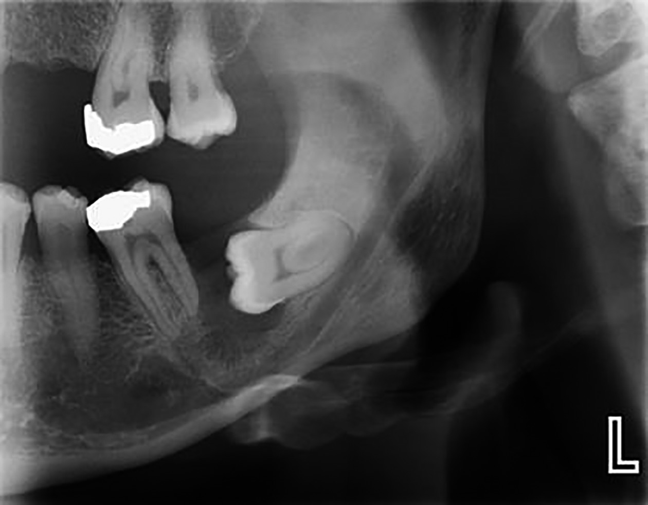
– Hình ảnh lâm sàng của một răng vĩnh viễn mọc ngầm, gây nang thân răng. Điển hình là nang thân răng mọc ngầm quanh răng nanh hàm trên.
– Thường biểu hiện qua hai giai đoạn:
+ Giai đoạn thầm lặng: Kéo dài hàng năm, lâm sàng không có gì đặc biệt, khám thấy thiếu một răng, răng sữa vẫn còn tồn tại, lung lay ít hoặc nhiều. X-quang thấy một vùng thấu quang tròn, rõ, quanh một thân răng ngầm ở phía trên. Đôi khi rất khó phân biệt hình ảnh nang hay chỉ là một bọc quanh thân răng giãn ra.
+ Giai đoạn sau : Khi nang đã to, biểu hiện bằng một khối u cứng làm phồng ngách lợi, hoặc cả rãnh mũi – má nhưng vẫn không đau, da- niêm mạc bình thường, nếu vị trí nang phía hàm ếch làm hàm ếch bị phồng. Khi nang tiếp tục to làm xương hàm bị tiêu và mỏng đi, khi đó sờ ở ngách lợi có dấu hiệu bóng bàn. X-quang có hình nang và răng ngầm thân quay vào lòng nang.
Nếu không phát hiện và điều trị kịp thời, nang dễ gây biến chứng bội nhiễm và nhiễm trùng, sau đó gây rò. Tuỳ vị trí nang mà có biểu hiện lâm sàng ở vị trí đó và đường rò có thể vào ngách lợi, hàm ếch hoặc ra ngoài da.
Các thể lâm sàng:
– Nang trên thân răng sữa: Làm răng mọc chậm đi. Thường là trên một răng sữa và chỉ có một nang. Tuy nhiên cũng có thể có cả trên bốn răng hàm sữa ở một bệnh nhân nang trùm lên thân răng sữa, răng sữa này rất nhỏ như hạt đậu màu xanh tím.
– Nang trên thân răng vĩnh viễn mà không có răng sữa. Hay gặp ở trẻ em trên các răng số 6, số 7.
– Nang quanh thân răng vĩnh viễn sau khi răng sữa ở trên bị nhiễm trùng. Hay gặp ở răng hàm nhỏ.
– Nang răng khôn hàm dưới. Trong đó răng khôn ở khá cao gần mỏm vẹt hay lồi cầu, có khi có nhiều ổ, trên X.quang có thể lầm với u men.
– Nang răng khôn hàm trên.
– Nang các răng thừa.
5. ĐIỀU TRỊ
Duy nhất bằng phẫu thuật
Dù ở giai đoạn thầm lặng hay đã rõ, khi lâm sàng và X.quang cho chẩn đoán xác định thì chỉ định phẫu thuật nên được thực hiện ngay. Trong phẫu thuật phải lấy bỏ toàn bộ màng nang và răng trong nang, sau đó hoặc khâu kín, hoặc dẫn lưu. Có thể ghép xương tự thân hay bột xương đông khô đồng loại.

